· ガス壊疽はガスが産生する病気であるため、超音波やレントゲン写真、CT、MRIなどの画像検査を行い病変部の波及状況を確認します。 また感染症を反映して血液検査を行うと、白血球数やCRPの著明な上昇を認めます。 筋肉の破壊を反映して、CKも上昇し陰茎に限局したフルニエ壊疽の1例 庵地 孝嗣 1 ,田村 賢司 1 ,井上 啓史 1 ,蘆田 真吾 1 安田 雅春 2 ,片岡 真一 2 ,斉藤 計太 3 ,栗山 元根 3開し十分に洗浄治療する。フルニエ壊疽とは外 陰部に発生する壊死性筋膜症であり、男性が9 割、糖尿病が5割を占める。悪性外耳道炎の原 因は90%が緑膿菌であり、抗生剤が効かないた め患部を削り取って治療する。副鼻腔にカビが
蜂窩織炎 壊死性筋膜炎 米内竜の迷走録
フルニエ 壊疽 画像
フルニエ 壊疽 画像-/03/18 · フルニエ壊疽が疑われた高齢者陰嚢壊疽 釜井 隆男 , 高木 健太郎 医学書院 臨床泌尿器科 52巻 10号 (1998年9月) pp当科で経験したフルニエ壊疽の1例 佐田 潔 , 宮本 俊之 , 浅原 智彦 , 福島 達也 , 田口 憲士 , 岡崎 成弘 , 上戸 康平 , 進藤 裕幸 整形外科と災害外科 60(3), , 11



Www Pref Miyagi Jp Uploaded Attachment Pdf
フルニエ壊疽 画像 , フルニエ壊疽とはどういった病気なのでしょうか? 実は、死亡率も高く、非常に緊急性の高い疾患です。 今回は、そんなフルニエ壊疽の原因、画像診断についてまとめました。 目次1 fournier壊疽(fournier · フルニエ壊疽の男女比について フルニエ壊疽は圧倒的に男性が多いとのことですが、男女比はどれくらいなんでしょうか?分かる方がいましたら、糖尿病との合併率なども教えていただけると助かります。 症例380歳代男性主訴陰嚢壊疽性膿皮症とは • 1930年にBrunstingが初めて記載 • 概念:ベーチェット病、スウィート病、角層下膿疱症 など好中球性皮膚症の一群に含まれる。何らかの 免疫系の変調を背景に発症すると考えられている • 病因:血管炎説、自己免疫説など諸説あるが
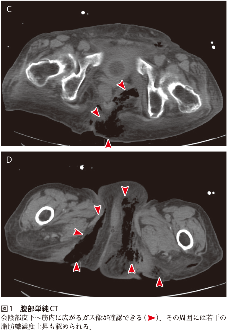
· 壊疽 画像 壊疽 画像画像所見図1に提示した単純ctで,左陰嚢から 陰茎部に皮下気腫を認めた(矢印)。 フルニエ壊疽 と判断し,緊急でドレナージ及びデブリードマンを 依頼した。 手術所見図2に手術所見を示す。 左陰嚢の発赤と 腫脹を認めする性器の壊死をフルニエ壊疽と報告し4),現在では 陰部や肛門周囲から発生した壊死性筋膜炎をフルニエ 壊疽と呼んでいる.今回,我々はフルニエ壊疽の1例 を経験したので報告する. 症例 42歳女性,基礎疾患に未治療の糖尿病あり,1週間フルニエ壊疽の診断・治療に関する研究 のお知らせ 研究に関するお知らせ 帝京 大学 医学部附属 病院では以下の研究を行います。 本 研究は 、倫理委員会の審査を受け承認された後に、関連の研究倫理指針に従って実施されるものです。 研究期間
日本産科婦人科學會雜誌 63(2), 493, 1101フルニエ 壊疽 画像 Oct 06, · 「フルニエ壊疽」だと疑われたら、一刻の猶予もありません。早急に外科的な処置をする必要がありますので、療養がメインの病院や施設、在宅介護している場面で極めてその可能性が高いと判断されれば、救急搬送しなければいけないレベルです。Fournier壊疽は若年男性の外性器に発症し,急激に進行する原因不明の特発性生殖器壊疽として18年にFournier 初期には蜂窩織炎(病変の主座は真皮から皮下脂肪組織)と画像 庵地孝嗣,他:フルニエ壊疽8症例の治療経験.泌尿器科紀要,55:,09;




フルニエ壊疽 臨床泌尿器科 67巻10号 医書 Jp



Http Igakkai Kms Igakkai Com Wp Wp Content Uploads 18 Kmj J44 2 129 Pdf
· フルニエ壊疽とはどういった病気なのでしょうか? 実は、死亡率も高く、非常に緊急性の高い疾患です。 今回は、そんなフルニエ壊疽の原因、画像診断についてまとめました。 Fournier壊疽キーワード: フルニエ壊疽,薄筋皮弁 別刷請求先 赤松 誠之 〒 広島県福山市蔵王町5231 福山市民病院形成外科 電話:084(941)5151 ファックス:084(941)5159 Eメール:tomo5963kisugi@yahoocojp 〈症例報告〉 緒 言 フルニエ壊疽は外陰部を中心として急速に進@60 㔼 ̒j B Â̓ A a B @ O H v s U C M 8 6 C @ f B a ̖I D C s Nj^ œ @ ƂȂ B8 7 C K X s ̐f f œa i 傩 5 Z ` O j ƉA X ؊J r ^ B L ʂ̍ F ̔^ ` ܂ Ă B S g Ǘ ɂ Ă͓ ȊǗ C n ɂ Ă͓ ȂŊǗ 邱 Ƃɂ C n OpWT i ܁{ ނ j ōL ݂̂Ƃ C Q x N J f b N X p Ȃǂ̓ p ނ͈ ؎g p Ă Ȃ i g p Ӗ Ȃ 瓖 R ł j B



Http Amcor Asahikawa Med Ac Jp Modules Xoonips Download Php File Id 1922



医学図書出版 雑誌 泌尿器外科 年2月号 Vol 33 No2
P1917 画像評価で早期に診断し,治療し得た, フルニエ壊疽 (壊死性筋膜炎)の1例(Group11 感染症・その他・症例,一般演題,第63回日本産科婦人科学会学術講演会) 築山 尚史,松脇 隆博,谷川 輝美,城 大空,中山 大介,増崎 英明; · フルニエ壊疽(Fournier's gangrene)は,18年 にフランス人医師Fournierが若年男性に突然発症し, 急速に進行する外陰部の壊疽として報告した1)。現在 では外陰部に発生する壊死性筋膜炎(フルニエ壊疽) を意味しており,消化器や泌尿器科領域で遭遇する比簡易懸濁法による経管投与に対応した調剤支援システムの構築と運用 1 ・ フルニエ壊疽術後症例における抗MRSA薬を中心とした治療への支援 1 ・ プラバスタチン製剤の後発医薬品 (メバン錠^)への切り替えに伴う治療学的同等性に関する




病気のお話 浜松市西区 胃腸科 肛門科 松田病院 胃腸科 肛門科 松田病院 浜松市西区




医療用語 フルニエ壊疽 おくすり相談員のミサキさん
フルニエ壊疽8 症例の治療経験 庵地 孝嗣1,田村 賢司1,井上 啓史1,佐竹 宏文1 蘆田真吾 1,西川 宏志1,鎌田 雅行1,安田 雅春2 片岡 真一2,中島 英貴3,執印 太郎1 1高知大学医学部泌尿器科学教室,2近森病院泌尿器科 3高知大学医学部皮膚科学教室 experience in the treatment of eight cases · 17.フルニエ壊疽が疑われる患者です。 対処と処方について教えて下さい。 吉田 利夫 1 1日本大学医学部泌尿器科 pp6365 壊死性筋膜炎は当初種々の名称で報告されていたが1924年にMeleneyがまとめた報告を行い,全例に溶血性レンサ球菌を検出したため画像 検査は、⼿術 (糖尿病⾜壊疽に伴う蜂窩織炎)では上記に加えてグラム陰性桿菌・嫌気性菌。咬傷では⼝腔内常在菌も。 発熱、局所の紅斑・浮腫・熱感(通常⽚側性で下肢に多い)。



2



Search Q E8 B6 E5 A3 8a E7 96 9f E5 8c 96 Tbm Isch
· 陰部や肛門周囲に生じた壊疽性筋膜炎は「フルニエ症候群」とも呼ばれ、半数は糖尿病の人に発症します。 50~70代によく起こり、男女比は25対1と圧倒的に男性に多くみられます。 発症はまれですが肛門科領域では最も危険な病気の一つとして数えられ · 先日、sglt2阻害薬にフルニエ壊疽の副作用が追記になりました。 そこでフルニエ壊疽のリスク因子を把握し、患者さんに伝えることができる初期症状を勉強してみたいと思います。 ポイント フルニエ壊疽は壊死性筋膜炎の特異的な形態で致死率が高い。•男性の生殖器や会陰部に起こるnstiの事で、フルニエ壊疽と呼ばれる •典型的には陰嚢から始まり、陰茎、会陰部、腹壁に急速に拡大していく •リスクとして糖病、外傷、嵌頓包茎、道周囲への溢流、直腸や肛門周囲 感染など



Http Medical Radionikkei Jp Kansenshotoday Pdf Kansenshotoday Pdf



Ema症例23 12月症例解説 Em Alliance
· 壊疽性筋膜炎(Fournier's gangrene) 更新:/4/8 肛門周囲膿瘍や外傷、尿路感染がきっかけとなり、陰部や肛門周囲に急速に炎症が進行して、急激な経過をたどる病気です。会陰部や陰嚢に生じるものをフルニエ症候群と呼んでいます。 · フルニエ壊疽 画像診断フルニエ壊疽8 症例の治療経験 庵地 孝嗣1,田村 賢司1,井上 啓史1,佐竹 宏文1 蘆田真吾 1,西川 宏志1,鎌田 雅行1,安田 雅春2 片岡 真一2,中島 英貴3,執印 太郎1 1高知大学医学部泌尿器科学教室,2近森病院泌尿器科 3高知大学医学部皮膚科学教 画像診断先日症例 フルニエ壊疽の3例 力久 直昭 , 三川 信之 , 錦 建宏 形成外科 48(2), 1195, 0502 被引用文献3件 19 尿道瘻に対する尿道造影により増悪したフルニエ壊疽の1例 上村 慶一郎




Sglt2阻害薬とフルニエ壊疽 Dotpharmacy



Http Www Keiju Co Jp Manage Files Iryo Magazine Vol 7 19 19 07 08tanaka Pdf
検 査 臨床所見で診断がつくため,診断のための特別な検査は基本的にない。重症例に関しては, 膿からの培養検体を採取し,原因菌の同定や感受性検査を行う。ある.陰部に発生した壊死性筋膜炎をとくにフルニエ壊疽 (Fournier's gangrene)と呼ぶ.劇症型溶血性レンサ球菌感染症 (toxic shocklike syndrome;TSLS)では本症を高頻度に合併す る(前述MEMO参照). 原因菌にはA群β溶血性レンサ球菌や嫌気性菌(フラジリ中心となる。フルニエ壊疽の重症度分類として,The Uludag Fournier's gangrene severity index (UFGSI)が有用とされており,80人のフルニエ壊疽 患者を対象とした研究ではUFGSIが10点以上の症 例での死亡率が94%と報告された3) 。本症例は



解説 Ema症例23 12月症例 50歳男性 股間が腫れているんです Em Alliance




114f72 Medu4でゼロから丁寧に医学を学ぶ



お洒落な物乞いの女性 Alltid Leende




糖尿病足と閉塞性動脈硬化症 甲状腺 専門医 橋本病 バセドウ病 超音波の長崎甲状腺クリニック大阪



Http Medical Radionikkei Jp Kansenshotoday Pdf Kansenshotoday Pdf



Http Igakkai Kms Igakkai Com Wp Wp Content Uploads 18 Kmj J44 2 129 Pdf




解答 解説 発熱 会陰部痛で来院した90歳代男性 実践 画像診断q A 羊土社 レジデントノート 羊土社




Image フルニエ壊疽 Msdマニュアル プロフェッショナル版



Http Medical Radionikkei Jp Kansenshotoday Pdf Kansenshotoday Pdf




肛門外科 京都民医連中央病院




糖尿病足と閉塞性動脈硬化症 甲状腺 専門医 橋本病 バセドウ病 超音波の長崎甲状腺クリニック大阪




Oj Twitterren 致死性軟部組織感染症と壊死性筋膜炎 ガス壊疽の関係 概念図 メレニー潰瘍や 会陰部のフルニエ壊疽は壊死性筋膜炎に分類される Http T Co 4ein3z35tf




単純x線写真とスカウト像をctの撮影に役立てて正確に診断しよう フルニエ壊疽の画像診断まとめ Antaa Slide



蜂窩織炎 壊死性筋膜炎 米内竜の迷走録




Oj A Twitter 壊疽性炎である壊死性筋膜炎とガス壊疽は 致死性軟部組織感染症に分類される Http T Co 6mnek3gzmm




Pdf Experience In The Treatment Of Eight Cases Of Fournier S Gangrene



Repository Kulib Kyoto U Ac Jp Dspace Bitstream 2433 1 46 429 Pdf



Www Ononavi1717 Jp System Files Assets Q A Area Diabetes Forxiga Drug Info News Forxiga Di 1905 9 Pdf




Sglt2阻害薬使用者ではフルニエ壊疽に注意 日経メディカル



Http Nanbugim P2 Bindsite Jp Src Sc292 939c94a95ac9a8afe994e594a8aedcab490f58fc7 Pdf



Www Kitasato U Ac Jp Ktms Kaishi Pdf Ki44 2 Ki44 2p109 116 Pdf




フルニエ壊疽 医メモ日記



フルニエの壊疽性生殖器感染症 生殖器フルニエの壊疽について知るべきこと Ja Fitness N Health Com




Sglt2阻害薬の使用でフルニエ壊疽の頻度は増えますか 猫でもわかる薬剤師転職サイトの選び方 考え方




07 赤松論文 Indd Pdf 無料ダウンロード




糖尿病足と閉塞性動脈硬化症 甲状腺 専門医 橋本病 バセドウ病 超音波の長崎甲状腺クリニック大阪



Http Igakkai Kms Igakkai Com Wp Wp Content Uploads 18 Kmj J44 2 129 Pdf




フルニエ壊疽 画像 フルニエ壊疽 画像診断まとめ



フルニエ壊疽 カナダのストックフォトや画像を多数ご用意 Istock




解答 解説 発熱と会陰部痛で来院した80歳代女性 実践 画像診断q A 羊土社 レジデントノート 羊土社




Fournier S Gangrene Causes Symptoms Diagnosis And Treatment Cute766




フルニエ壊疽 画像 フルニエ壊疽 画像診断まとめ



2




フルニエ壊疽 画像 フルニエ壊疽 画像診断まとめ



Http Amcor Asahikawa Med Ac Jp Modules Xoonips Download Php File Id 1922




17 フルニエ壊疽が疑われる患者です 対処と処方について教えて下さい 臨床泌尿器科 59巻4号 医書 Jp




糖尿病と感染症 自分から所見を探しに行け 水戸済生会総合病院 臨床研修ブログ




解答 解説 発熱 会陰部痛で来院した90歳代男性 実践 画像診断q A 羊土社 レジデントノート 羊土社




Antaa Slide




ベバシズマブを含む化学療法中の直腸癌患者に発症したa群b溶連菌による壊死性筋膜炎の1例 A Case Of Group A Beta Streptococcal Necrotizing Fasciitis In A Patient With Rectal Cancer Underwent Chemotherapy Including Bevacizumab Hiromi Miyoshi 18



Repository Kulib Kyoto U Ac Jp Dspace Bitstream 2433 1 51 411 Pdf



Http Www Tohoku Icnet Ac News Files Material Kanamori 09 12 Pdf



Www Kitasato U Ac Jp Ktms Kaishi Pdf Ki44 2 Ki44 2p109 116 Pdf




Pdf Localized Fournier S Gangrene Of The Penis A Case Report



Www Pref Miyagi Jp Uploaded Attachment Pdf




糖尿病足と閉塞性動脈硬化症 甲状腺 専門医 橋本病 バセドウ病 超音波の長崎甲状腺クリニック大阪




肌筋膜癥候群 壊死性筋膜炎 人食いバクテリア フルニエ壊疽 の原 Sed



Repository Kulib Kyoto U Ac Jp Dspace Bitstream 2433 1 46 429 Pdf




17 フルニエ壊疽 基礎疾患に糖尿病があり 会陰から陰囊にかけて腫脹し 異臭を放つ患者です 臨床泌尿器科 69巻4号 医書 Jp



Http Igakkai Kms Igakkai Com Wp Wp Content Uploads 18 Kmj J44 2 129 Pdf




ドイツ振動医学によるフルニエの壊疽編 Fournier S Gangrene By German Oscillatory Medicine Youtube




フルニエ フルニエ とは 意味 英語の例文




フルニエ壊疽の1例 臨床泌尿器科 48巻12号 医書 Jp



癌と化学療法 43 7 16年7月号 癌と化学療法社




Sglt2阻害薬の使用でフルニエ壊疽リスク 米fda調査 糖尿病net Healthday News



Q Tbn And9gcrxzduthjfk 0ww5alqpss9pg0lm2uxa8vpgldumeateck1kzvv Usqp Cau



和田 武 画像診断 Ivr医 フルニエ壊疽の画像診断まとめ フルニエ壊疽 会陰部に生じる壊死性筋膜炎 は急速進行する疾患であり 迅速な診断と正確な進展範囲の把握が求められます 会陰部軟部組織の腫大や脂肪織混濁像 皮下や筋間のガス像 Ctで90



Repository Kulib Kyoto U Ac Jp Dspace Bitstream 2433 1 55 545 Pdf



Ema症例23 12月症例解説 Em Alliance



Q Tbn And9gcr1plrnq8qvnj5k9rjuiurkzbpwzgjdkbh3g2r7emk Usqp Cau



2




フルニエ壊疽 R S Note



Gair Media Gunma U Ac Jp Dspace Bitstream 3929 1 57 325 9 Pdf



Www Mhlw Go Jp Content Pdf



フルニエ壊疽 R S Note




Fournier壊疽の1治療例 臨床皮膚科 55巻7号 医書 Jp



Sglt2阻害薬にフルニエ壊疽リスク 米fdaが警告 Healthdayjapan



解説 Ema症例23 12月症例 50歳男性 股間が腫れているんです Em Alliance




軟部組織感染症 A To Z まずはa 感染症の病理学的考え方



3




フルニエ壊疽とは 見逃してはいけいない疾患 蜂窩織炎との鑑別話します Youtube



Http Igakkai Kms Igakkai Com Wp Wp Content Uploads 18 Kmj J44 2 129 Pdf




フルニエ壊疽 を見逃さないで ナースsoramiのスマイルブログ




医療用語 フルニエ壊疽 おくすり相談員のミサキさん




糖尿病 維持透析例の足壊疽 下肢切断を回避する治療 血管外科医 笹嶋唯博




109i71 Medu4でゼロから丁寧に医学を学ぶ




そこが知りたい 令和2 年1月号 東京都病院薬剤師会



Jikeirad Jp Syourei Kensyui 13up 1 13 Pdf



Oj Jun0426 14年2月17日のツイート ツイセーブ




5種類の副作用追記 Sglt阻害薬によるフルニエ壊疽など 令和元年5月9日 添付文書改訂指示 薬剤師の脳みそ




M2plus 皮膚科の臨床 年6月号 62巻7号 特集 細菌 抗酸菌感染症 電子版



Http Www Keiju Co Jp Manage Files Iryo Magazine Vol 7 19 19 07 08tanaka Pdf




Earlのコロナツイート 114f 72 73 74 フルニエ壊疽 74はaltが明らかに不要ですね 白血球数は普段は重症度判定に使いませんが この患者の場合好中球減少を起こしてますので 重症度に入らなくもないですが 不適切問題にしてもいいんじゃないですかね




フルニエ壊疽 を見逃さないで ナースsoramiのスマイルブログ




フルニエ壊疽 画像 フルニエ壊疽 画像診断まとめ




肛門科で最も怖い病気 壊疽性筋膜炎 横浜市新横浜近郊で痔の日帰り手術ならららぽーと横浜クリニック



Repository Kulib Kyoto U Ac Jp Dspace Bitstream 2433 1 55 545 Pdf



Sglt2阻害薬の使用でフルニエ壊疽リスク 米fda調査 Healthdayjapan



Medical Kowa Co Jp Asset Item 66 8 06tekisei Dbt Awt Pdf




単純x線写真とスカウト像をctの撮影に役立てて正確に診断しよう フルニエ壊疽の画像診断まとめ Antaa Slide




フルニエ壊疽とは 原因は 画像診断の特徴は



Redcross Repo Nii Ac Jp Action Repository Uri Item Id 3301 File Id 22 File No 1
0 件のコメント:
コメントを投稿